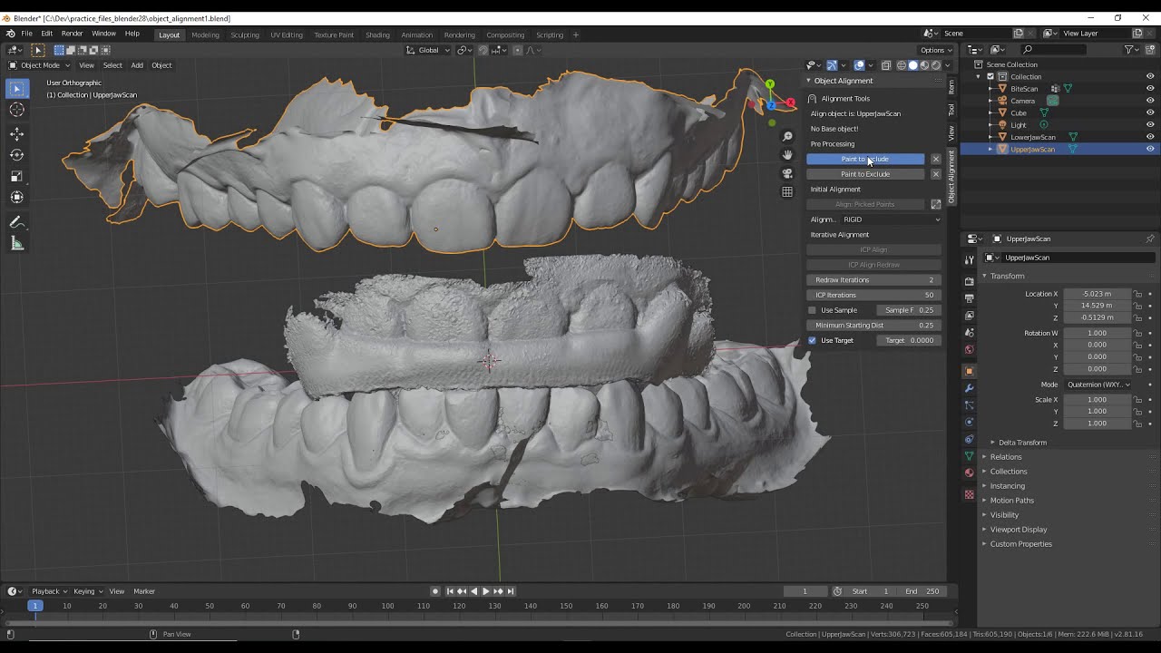
Revisiting Rigid Mesh Registration

Hi @lassoan. I am thinking about developing this improved surface registration you were talking about. Although I would need a little bit more info.

A question, would the improved version work as well as this one?

Would some kind of paint selection of cells of the mesh be possible using the segment editor or using this script as base? Would that improve usability?

This blender’s ICP is currently used in blender to plan deformity correction surgeries using the normal bone (contralateral) to guide the aligment of the to-be-aligned deformed bone pieces after the closing/opening wedge osteotomy. But they lack access to the ICP transform that results from the algorithm in blender. So they can’t plan kirchner wires on the corrected bone segments and transform them to the deformed original bone to create surgical guides for cut and aligment.

Related relevant post: Robust ICP alignment tool

1 Like