@johny723, make sure that your resection surface markup completely exceeds the liver parenchyma all around. The underlying algorithm for volume calculation can leak if the resection does not mark a clear delimitation between resected/remnant tissue. As far as I can see, the rest of your parameters look correct. Below an example where it works (note that my resection goes well beyond the liver parenchyma).
Thank you, the points needed to be quite far away from the liver. It is working now!
I have another question. How do I actually resect the liver into 2 parts on each side of the resecion plane? Having a 3d model of the resected part and the remnant would be great. Is it possible to create an arbitrary plane using Bezier surface and then divide the given segment ( liver, spleen, etc, you name it) according to the resection plane? Thank you!
@johny723, the points don’t really need to be quite far, you just have to make sure that the boundary of the resection is not inside the parenchyma; leaving a small margin out helps making sure this effectively happens. For visualization purposes, you can (1) compute the distance map, (2) select the newly generated distance map for the resection and (3) mark the “Preview resection” box. This will cut off the excess of the resection for a better visualization.
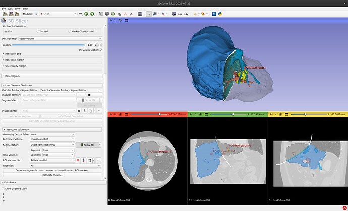
In the volumetry section of Slicer-Liver you can use the “Generate Segments…” button to generate the segmentation with individual separated segments. Here is a picture leveraging on all features you ask:
Sorry for a delayed answer.
I dont have any " Generate segments based on selected resections and ROI markers" button on my screen.
Wh
at am I doing wrong?
What do I have to do to make the “Generate segments…” appear?
Could you please make a step by step tutorial?
The documentation for Slicer-Liver is at GitHub - ALive-research/Slicer-Liver: 3D Slicer extension for liver analysis and therapy planning, with a walk-through of of all the functionality of the extension.
The image below, which is extracted from the documentation highlights the button to generate the segments:
Make sure you have the latest version of Slicer and Slicer-Liver as this functionality has been recently added. This may explain if you did not find the button.
Hey @RafaelPalomar
Sorry to bug you on this, but I’m having the same problem @johny723 is experiencing. While being able to resect the liver using the curved plane, and calculating the volume of the resected segments in the volumetry module (the output table reads nicely), I’m unable to find get the ‘Generate segments based on selected resections and ROI markers’ button to appear.
I’m currently running Slicer 5.8.1, and running the SlicerLiver extension a767755.
Any pointers are hugely appreciated! Thanks so much.
Hello @psychicpotato. I’ve been reviewing this case and I have pushed some changes to Slicer-Liver. These changes should enable the missing button. The extension will be most likely available from tomorrow, when a new build is triggered. I’ll check on Monday to make sure everything’s in order.
Amazing - thanks so much @RafaelPalomar!
@johny723, @psychicpotato. I tested the extension earlier this morning and it builds now with the segmentation separation based on a resection. We are currently working on a video tutorial, however, there are written instructions at https://github.com/ALive-research/Slicer-Liver?tab=readme-ov-file#resection-volumetry.
Let me know if this works for you.
Hey @RafaelPalomar - Fantastic! Working as intended, I’m able to see the button, transect the volume into 2 separate segmentations, and output the resulting OBJ files. Thanks so much for the quick turnover!!
It finally works. Thank you!



