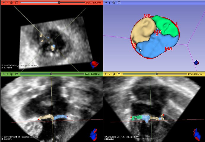
I have segmented several structures from 3D echo. I would like to export these structures into another Slicer file created from a cardiac MRI. When I copy and paste the part, or convert it to an STL and then import the part, it displays in the wrong place. How can I create a transform to display the echo segmentations in the MRI file?
I am pasting 2 images below for reference:
Thank you

